MD Periodontics of Beverly Hills

MD Periodontics of Beverly Hills, located at 9735 Wilshire Blvd. is your premier destination for specialized periodontic care and advanced dental implants. Led by board-certified periodontists Dr. Abdy Moshrefi and Dr. Nazanin Daneshmand, our clinic excels in treating gum disease, performing crown lengthening, frenectomies, and holistic dentistry. We offer top-tier services like gum lightening and comprehensive implant solutions, including "All-on-4" and ceramic implants, ensuring natural aesthetics and functionality. Conveniently serving greater Los Angeles, we prioritize patient-centric, cutting-edge treatments for all your dental health needs. Visit us or call (855) 245-1100 today!

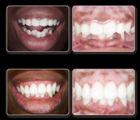
Cover photo of MD Periodontics of Beverly Hills

Customer's reviews

I had an outstanding experience with Dr, Daneshmand and Dr. Moshrefi and their team. From the moment I walked in, I was welcomed with kindness and professionalism. The office is modern, clean, and well-organized, making me feel comfortable right away. Dr. Daneshmand is incredibly knowledgeable, thorough, and gentle in their approach. They took the time to explain my treatment options clearly, answered all my questions with patience, and ensured I felt at ease throughout the process. Their expertise in periodontal care is truly impressive, and I couldn’t be happier with my results. The entire staff is friendly, efficient, and genuinely cares about their patients. If you’re looking for a skilled and compassionate periodontist, I highly recommend Dr. Daneshmand and Dr. Moshrefi, they are truly the best! ~ Taraneh. K
Dr. Moshrefi is truly an outstanding periodontist. From the very first consultation, it was clear that he operates at a different level of skill, knowledge, and professionalism. He takes the time to explain every detail, answers questions thoroughly, and creates a sense of trust that is rare in healthcare. His surgical precision and attention to detail are remarkable. His expertise is unique because he has a keen eye for the outcome. The results are not only healthy but beautiful and natural-looking. His office runs efficiently, his team is warm and professional, and the overall experience reflects excellence from start to finish. If you are looking for a doctor who is highly skilled, ethical, meticulous, and truly invested in long-term outcomes, Dr. Moshrefi is exceptional. I would recommend him without hesitation. ~ Lizzeth
I don't usually write reviews, but wow... I just had the most amazing dental experience at MD Periodonitcs. By all means, I typically hate going to the dentist... however, I can't wait to go back after my last experience. Back story, I had some serious dental pain creep up the last few days, was referred to Dr. Moshrefi by one of the best ENT doctors in Los Angeles, and subsequently called his office. Dr. Moshrefi's staff got me scheduled within two hours of calling. Their location is great, their staff is wonderful, and Dr. Moshrefi had my problem diagnosed, treated, and released in two hours from start to finish. ALL OF MY PAIN is gone, 24 hours later... and there was a lot of it. THANK YOU MD PERIODONTICS for taking such incredible care of me. Feel like a new man! ~ Cyrus S

Blog

Taking care of our patients’ smiles is what we love most. 🦷 😁 #MDPeriodontics #HealthySmile #DentalWellness #BeverlyHillsDentistry #BoardCertifiedD… Posted on: June 16, 2025
Our patients' smiles reflect their confidence, joy, and the life-changing results we strive to achieve. 🦷 - Dr. Moshrefi and his staff are wonderful… Posted on: March 31, 2025
The best care you'll receive is from a team that truly cares about you, your journey, and your results.🦷 - Dr. Abdy Moshrefi and his staff are terri… Posted on: March 17, 2025

Contact information

Address
9735 Wilshire Blvd Suite #419 Beverly Hills 90212
Sunday Closed
Monday 9:00 AM - 5:00 PM
Tuesday 9:00 AM - 5:00 PM
Wednesday 9:00 AM - 5:00 PM
Thursday 9:00 AM - 5:00 PM
Friday 9:00 AM - 5:00 PM
Saturday Closed